Taxonomic position and glochidia from the freshwater mussel,

Anodonta luteola (Unionoida: Unionidae), in Costa Rica

 

Rafael A. Cruz & Rebeca Quesada

Estación de Biología Marina, Escuela de Ciencias Biológicas, Universidad Nacional, Puntarenas, Costa Rica; rcruzsoto47@gmail.com,

rebeqc@gmail.com

Received 22-ix-2016 • Corrected 20-xi-2016 • Accepted 10-xii-2016

ABSTRACT: Glochidia larvae from Anodonta luteola were observed in gills of Oreochromis niloticus from a farm in Cañas, Guanacaste. Samples were taken and analyzed by electron microscopy (SEM) and light microscopy. Glochidia were 311, 8μm total length (TL), 331,7μm total height (TH), and 251,1μm hinge dorsal length (HDL). Anodonta has 21 species reported for the Panamica province, and A. luteola has five synonyms, often used in different reports.

 

Key words: Anodonta luteola, taxonomic position, glochidium morphology, Costa Rica.

Anodonta luteola is distributed from Tierra Blanca and Malacotoya river in Nicaragua to the Isthmus of Darien in Panamá (von Martens 1980-1981). The glochidia larvae of Anodonta luteola were observed as ectoparasites on fish, attached fixed on the fins, gills, mouths and eye edges mainly. Several reports are found in Costa Rica for this species. In a fish culture system some researches were made on the reproduction of this species (Ruiz, 1982; Ruiz & Bonilla 1982); the reproductive behavior and biometrics was studied by Cruz & Villalobos, (1984); Cruz & Villalobos, (1985) related sexual maturity with total size; and Cruz & Villalobos, (1984) and Villalobos et al. (1985) reported the size distribution, growth and reproduction. Recently, Castillo-Martinez (2000) included this species on the impact of pesticides on banana production in aquatic ecosystems, and Arias-Andrés et al. (2014) used them in eco toxicological evaluation of aquaculture and agriculture as biomarkers.

The glochidia larvae from Unionidae Family are classified into three types, based in morphology and presence or absence of hooks and spinules: subcircular unhooked, subtriangular hooked with spinules, subtriangular hooked without spinules (Graf & Cumming, 2006). The aim of this study was to report the taxonomic position of A. luteola and describe its glochidia larvae.

MATERIALS & METHODS

To determine the number of species of the genus Anodonta reported for the Panamic province and to determine its taxonomy position the work of Von Martens, (1890-1901); Simpson, (1900); Pilsbry, (1920); Parodiz & Bonetto (1963), and MUSSELp. (2013) were revised.

Between September and October 2014, 80 specimens of A. luteola were collected. The mussels were taken from an Oreochromis niloticus culture system of the Universidad Técnica Nacional (UTN), located in Cañas, Guanacaste (10°20’8” N, 85°9’19” W) with 0,5 m deep. The mussels were transported alive on a cool box to Estación de Biología Marina (EBM), Universidad Nacional (UNA), located in Puntarenas (9°58´43´´N, 84°50´25´´W) to be analyzed at once. Gills from mussels were examined for the presence of glochidia. Samples of glochidia were fixed on ME solution (2.0% of paraformaldehyde, 2.5% of glutaraldehyde and 5% of sucrose in 0.1 M sodium cacodylate buffer at pH 7.4) and were stored at 7 °C before scanning electron microscopy (SEM) analysis at Universidad de Costa Rica (UCR) (Hoggart, 1999). Samples were rinsed in the same buffer three times during 10 minutes, centrifugated at 2000 rpm to separate glochidia larvae from the tissue. Postfixation was done with 1% osmium tetroxide for one hour and the samples were rinsed 4 times with buffer before ethanol dehydration series. Samples were coated with 30 nm platinum and observed on a Hitachi S-2360 N scanning electron microscope.

Glochidia larvae were identified in a light microscope (Engel & Wächtler, 1989) with camera. Glochidia pictures were taken at natural and eocin staining was done to distinguish organs. The glochidia (n = 102) were measured for total length (TL), height (H) and hinge dorsal length (HDL), and mean values were calculated (mean ± standard deviation (SD), variation coefficient (VC)). To determinate the glochidia type based on Graf & Cumming (2006), a sample was examined with light microscopy (Engel & Wächtler, 1989).

RESULTS

The Holotype of Anodonta luteola is located in Smithsonian Institute, U. S. National Museum of Natural History, Department of Invertebrate Zoology, IZ MOL 86766. (MUSSEL p., 2013).

Species of the genus Anodonta present to Panamic Province: von Martens (1896-1900):

 

 

Anodonta luteola has elliptical shell, thin, inflated, and often slightly winged posteriorly and rounded leading edge. The posterior edge of the shell was slightly winged, corrugated, and the umbo is smooth, with concentric ridges. Smooth, shiny and greenish-yellow surface with fine lines of growth were characteristics in the juveniles shells. In adult specimens the shell color turns dark green with strong growth lines. Periostracum of the umbo region spent in adults. Hinge toothless, reduced a single line regularly curved. Adductor muscles hardened, shiny nacre and mildly iridescent (Simpson, 1900 modified) (Fig. 1).

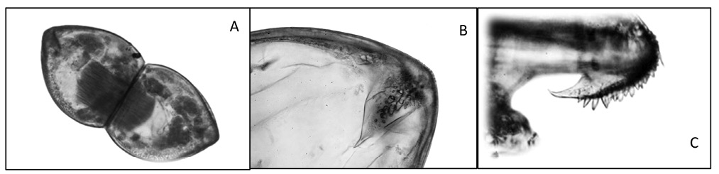
Details from the morphology the shell of the glochidia of A. luteola can be seen in Fig. 2.

The shape of the glochidia Anodonta luteola is subtriangular with hook and spinules (Fig. 3).

Table 1 shows the measurements taken to gloquidia. The mean dimensions of the glochidia as follows: total length: 311.8μm, height: 331.7μm. The lowest coefficient of variation (3.42%) corresponded to the total length.

TABLE 1

Statistical data on glochidia of Anodonta luteola

 

 

Range (μm)

Mean (μm)

CV %

Total Length

262,5-337,5

311,8 ± 10,67

3,42

Height

287,5-375,0

331,7 ± 14,25

4,30

Hinge Dorsal Length

200,0-312,0

251,1 ± 12,94

5,15

DISCUSSION

According to the results of this study there is no doubt that in the works published by Cruz & Villalobos (1984), Cruz & Villalobos (1985), Villalobos & Cruz (1984) & Villalobos, Cruz & Báez (1984) under the name of Glabaris luteolus (Mycetopodidae), and those of Ruiz (1982), Ruiz & Bonilla (1982), Sandin, (1995), Castillo-Martínez (2000), Arias-Andrés, Mena & Pinnoch (2014) published under the name Anodontites luteola (Mycetopodidae) the specie were misidentified. In all cases, the species listed above refers to Anodonta luteola (Unionidae). Species from Unionidae family produce glochidia on its larval stage unlike species of the family Mycetopodidae that produce lasidium larvae (Parodiz & Bonetto, 1963).

The glochidia of A. luteola showed the following measures, TL = 311,8μm, H = 331,7μm. These measures are bigger than the measurements shown by several species of the genus Unio, like U. marcus (TL = 216,8μm, H = 193,7μm), U. delphinus (TL = 229,0μm, H = 221,0μm) and U. tuminiformis (TL = 202,0μm, H = 221,0 μm) (Araujo et al., 2009). Species of the genus Anodonta shows bigger measurements than those found in A. luteola, such as A. cygnea (TL= 350,0μm, H = 350,0μm) and A. anatina (TL = 355,0μm, H = 350,0μm) reported by Araujo et al. (1999) and A. pseudodopsis (TL = 328,0μm, H = 303,0μm) (except for the height), in Serefişan et al. (2009).

Moreover, in all the above cited species, including A. luteola, the glochidia only stay in the external demibranquia. However, this condition is not characteristic of all members of the family Unionidae; for example, the glochidia in Potamida littoralis uses the four branquias as marsupia for the incubation (Araujo et al., 2009).

ACKNOWLEDGEMENTS

This work is part of the project “Nutritional composition and effect of biochemical, microbiological and environmental changes in the quality and freshness of some commercial species caught in the Gulf of Nicoya.” We are grateful to Jorge Boza, Rafael Araujo and Jorge Alfaro for reviewing the manuscript, William Vargas for providing the clams, the staff of the Experimental Station Jiménez Núñez for their help in the collection, Maribel Vargas and Oscar Pacheco Prieto for the electron microscopy and light microscopy pictures, respectively.

REFERENCES

Araujo, R., Reis, J., Machodorm, A., Toledo, C., Madeira, M. J., Gómez, I., Velasco, J. C., Morales, J., Barea J. M., Ondina, P., & Ayala, I. (2009). Las náyades de la península Ibérica. Sociedad Española de Malacología. Iberus, 27(2), 7-72.

Arias-Andrés, M., Mena, F., & Pinnoch, M. (2014). Ecotoxicological evaluation of aquaculture and agriculture sediments with biochemical biomarkers and bioassays: antimicrobial potential exposure. J. Environ. Biol. 35(1), 107-117.

Castillo-Martínez, L. E. (2000). Pesticide impact of intensive banana production on aquatic ecosystems in Costa Rica [dissertation]. University of Stockholm-Sweden.

Cruz, R. A., & Villalobos, C. R. (1984). Estudios sobre la biología de Glabaris luteolus (Mycetopodidae: Bivalvia) IV. Biometría y aspectos reproductivos en 28 millas. Limón. Costa Rica. Rev. Lat. Acuic. 21, 9-17.

Cruz, R. A., & Villalobos, C. R. (1985). Tamaño y madurez sexual de la almeja de agua dulce Glabaris luteolus (Lea 1852) (Mycetopodidae: Bivalvia). Brenesia, 24, 371-374.

Engel, H., & Wächtler, K. (1989). Some peculiarities in development biology of two forms of the freshwater bivalve Unio crassus in northern Germany. Archiv für Hydrobiology, 115, 441-450.

Graf, D. L., & Cummings, K. S. (2006). Palaeoheterodont diversity (Mollusca: Trigonioida Unionidae): what we know and what we wish we knew about freshwater mussel evolution. Zoological Journal of the Linnean Society, 148, 343-394.

Hoggart, M. A. 1999. Description of some of the glochidia of the Unionidae (Mollusca: Bivalvia). Malacologia, 41, 180-298.

MUSSELp. 2013. The Freshwater Mussels (Unionidae) of the World (and other less consequential bivalves). Disponible en http://mussel-project.uwsp.edu/db/db.php?p=tax&l=sppop&n=4339.

Parodiz, J. J., & Boneto, A. A. (1963). Taxonomy and Zoogeographic relationchips of the South American Naiades. Malacologia, 1(2), 179-213.

Pilsbry, H. 1920. Costa Rican land and freshwater mollusks. Moluscos costarricenses terrestres y de agua dulce. Proceedings of the Academy of Natural Sciences of Philadelphia, 72, 2-10.

Ruiz, R., & Bonilla, R. (1982). Intentan su reproducción en policultivo con peces. ASBANA, 6(16), 20.

Ruiz, R. (1982). Ensayo de crecimiento en policultivo. ASBANA, 6(17), 6-7.

Sandin L. (1995). Physiological Responses of the Freshwater Mussel Anodontites luteola Exposed to Runoff Water with Pesticide Residues in Costa Rican Banana Plantations [dissertation]. University of Stockholm-Sweden.

Şereflişan, H., Şereflişan, M., & Soylu, S. (2009). Description of glochidia of three species of freshwater mussels (Unionidae) from Southeast Turkey. Malacologia, 51(1), 165-172.

Simpson C. (1900). Synopsis of the naiades or pearly fresh-water mussels. Proc. U. S. Nat. Mus., 22 (1205), 501-1044.

Villalobos, C. R., & Cruz, R. A. (1984). Biología de Glabaris luteolus (Mycetopodidae: Bivalvia). I. Distribución de tamaño, crecimiento y mortalidad en Cañas, Guanacaste, Costa Rica. Rev. Biol. Trop., 32, 29-34.

Villalobos, C. R., Cruz, R. A., & Báez, A. L. (1984). Biología de Glabaris luteolus (Mycetopodidae: Bivalvia) III. Distribución de tamaño, crecimiento y mortalidad en 28 Millas, Limón, Costa Rica. Rev. Biol. Trop., 32, 57-60.

Von Martens E. (1890-1901). Biologia Centrali- Americana. Land and freshwater Mollusca. London, England. Ed. R.H. Porter.

RESUMEN: Posición taxonómica y el gloquidio del mejillón dulceacuícola Anodonta luteola (Unionoida: Unionidae), en Costa Rica. Las larvas glochidio de mejillón Anodonta luteola se observaron en las branquias de los especímenes de Oreochromis niloticus de una granja en Cañas, Guanacaste, Costa Rica. Se tomaron muestras y se analizaron mediante microscopía electrónica de barrido (SEM) y microscopía de luz. Los glochidios midieron en promedio 311,8μm de longitud total (LT), 331,7μm de altura total (TH), y 251,1μm de longitud dela charnela (HDL). Anodonta cuenta con 21 especies reportadas para la Provincia Panamica, además, A. luteola cuenta con cinco sinónimos, usados a menudo en diferentes informes científicos.

 

Palabras clave: Anodonta luteola, posición taxonómica, morfología del gloquidio, Costa Rica.

Fig. 1. Dorsal and ventral view of Anodonta luteola.

F002%20Horizontal.psd

Fig. 2. Details of the morphology the shell of the glochidia at SEM of Anodonta luteola. A) Dorsal view B) Outer surface of valve showing the porousity of the shell C) Detail of the spinules.

F003.psd

Fig. 3. Details of the shell of the glochidia of Anodonta luteola at light microscopy A) View of the subtriangular shape and the adductor muscle of the glochidia (10X). B) Frontal view of the hook (40X). C) Lateral view of the hook with spinules (40X).

F001%20COLOR.psd
F001%20BYN.psd